Послуги

Імплантація

Відсутність зубів може суттєво погіршити якість життя людини, впливаючи на жування, мовлення, зовнішній вигляд обличчя та психологічний стан. Ефективним методом заміни втрачених зубів є дентальна імплантація. Вона полягає у встановленні штучної кореневої системи зуба, яка закріплюється в кістковій тканині щелепи. На цей корінь кріпиться зубна коронка, яка виглядає і функціонує, як природний зуб.

Запис на прийом
Процедура імплантації у стоматологічній клініці

Переваги імплантації

Імплантати мають декілька переваг поміж іншими методами заміни зубів, такими як містки та протези. Вони міцні та довговічні, що дає можливість повернути функції та естетику зубного ряду. Крім того, імпланти не потребують підпилювання сусідніх здорових зубів, як це відбувається у випадку з мостовидними протезами.

Кому рекомендована дентальна імплантація?

Імплантація зубів є необхідною в таких випадках:

  • Втрата одного або декількох зубів внаслідок травми, карієсу, захворювань ясен або кісткової тканини.
  • Відсутність зубів (повна або часткова адентія).
  • Неможливість встановлення мостовидного або знімного протезу чи дискомфорт при їх носінні.

Варіанти встановлення імпланту

Існують дві основні методики встановлення імпланту:

  1. Одноетапна імплантація (експрес-імплантація) - передбачає встановлення імпланту та тимчасової коронки за одну процедуру без розсічення м'яких тканин і кістки. Цей метод може виконуватися з моментальним навантаженням (з встановленням тимчасової коронки відразу) або з відкладеним навантаженням (коронку встановлюють після приживання імпланту).
  2. Двоетапна імплантація - спочатку імплантується штучний корінь, а після загоєння ясен та кісткової тканини (зазвичай, через 2-3 місяці після імплантації) встановлюється коронка.

Важливо пам'ятати, що після втрати зуба кістка може атрофуватися, тому не варто зволікати з імплантацією. Фахівці рекомендують проводити імплантацію одномоментно з видаленням зуба, або не пізніше, ніж через 2-3 місяці після його видалення.

Якщо у вас виникла потреба в імплантації зубів, зверніться до нашої клініки. Ми пропонуємо індивідуальний підхід та розробляємо оптимальний план лікування для кожного конкретного випадку.

Результат лікування: до та після
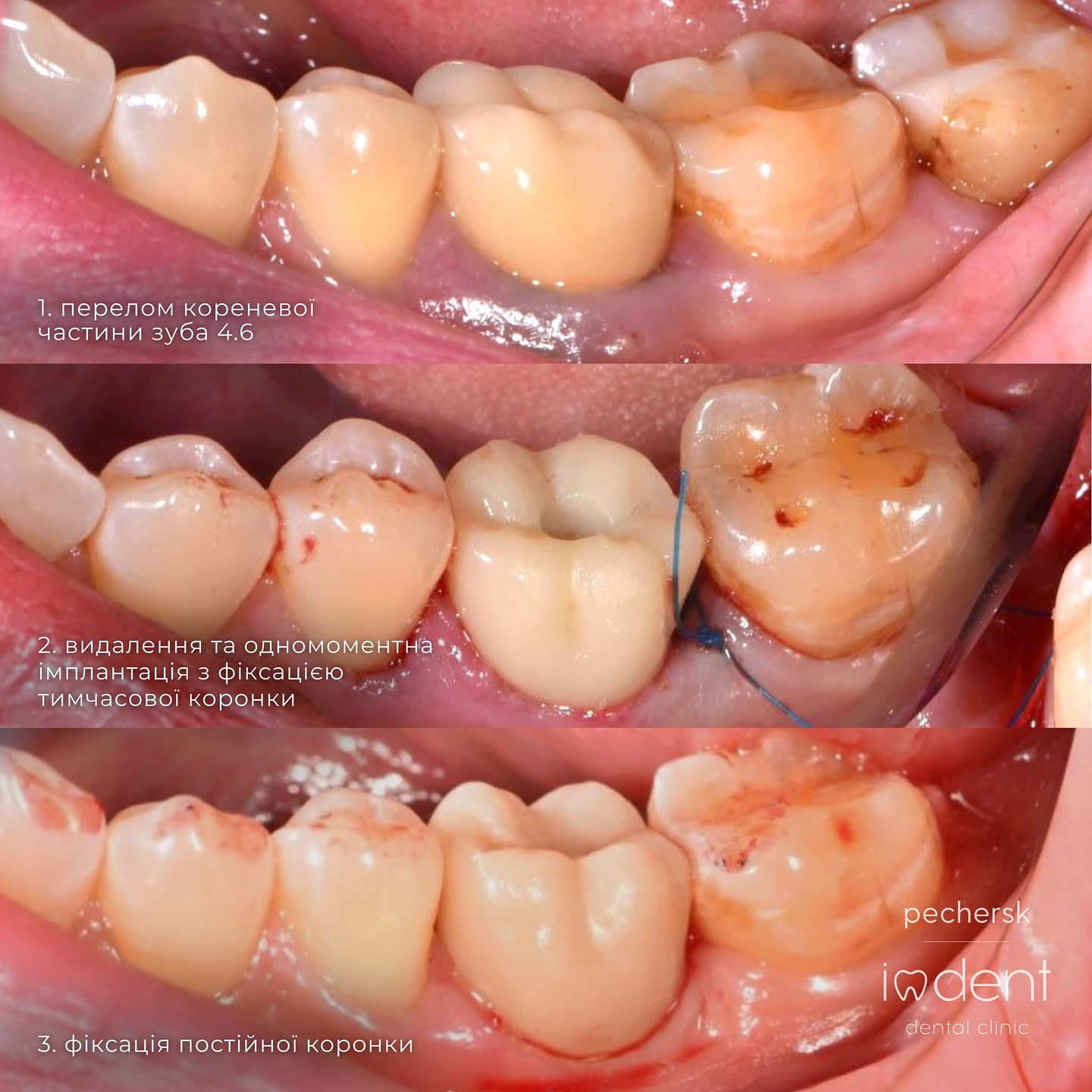
Одномоментна імплантація зуба 4.6

Як відбувається імплантація зубів

  1. Консультація
  2. Терапевтичне лікування та санація ротової порожнини
  3. Рентгенологічні дослідження
  4. Впровадження імплантів
  5. Установка формувача ясен
  6. Встановлення абатменту
  7. Установка коронки

Лікування у клініці IODENT

У клініці IODENT ми використовуємо сучасні технології та методи дентальної імплантації з метою забезпечення нашим клієнтам якісного та безболісного лікування. Перед початком лікування пацієнту проводиться комп'ютерна томографія та 3D сканування зубних рядів, що дає можливість зібрати тривимірні дані та відобразити їх у єдиній 3D схемі.

Наша команда професіоналів використовує цифрові протоколи та методи планування дентальної імплантації з подальшим протезуванням, встановленням ортопедичної конструкції. Штучний інтелект, який контролює кожний етап процедури, допомагає визначити всі ознаки ураження кісткової тканини та зубів за кілька хвилин.

Після аналізу клінічного стану, ми створюємо надрукований на 3D принтері шаблон, який дозволяє точно передати позицію постановки імпланта в ротову порожнину пацієнта. Цей метод забезпечує мінімальну кількість помилок під час постановки імпланту і скорочує травматичність та час процедури.

Звертайтеся до нашої стоматологічної клініки для отримання якісної та безболісної імплантації зубів. Ми надаємо повну післяопераційну підтримку та рекомендації по догляду за імплантами для забезпечення тривалого терміну служби та збереження здоров'я ясен. Наші стоматологи готові відповісти на всі ваші запитання та допомогти відновити прекрасну посмішку!

Планування імплантації
Кейс #1
Кейс #2
Кейс #3
Кейс #4
Пацієнтський кейс: зміни до та після процедури

Тотальна реабілітація

Імплантація, протезування безметалевими реставраціями з підвищенням висоти прикусу.

Петренко Євген, головний лікар, хірург-імплантолог

Роботу виконав головний лікар клініки, хірург-імплантолог: Петренко Євген Олександрович

Пацієнтський кейс: зміни до та після процедури

Імплантація верхньої щелепи з негайним тимчасовим навантаженням.

Встановлення зубних імплантатів системи Dentsply Ankylos та MIS. Нарощування кістки (відкритий правосторонній синус-ліфтинг) щвейцарським матеріалом Geistlish Biooss.

Постійне протезування безметалевими коронками з міцного діоксиду цирконію.

Петренко Євген, головний лікар, хірург-імплантолог

Роботу виконав головний лікар клініки, хірург-імплантолог: Петренко Євген Олександрович

Пацієнтський кейс: зміни до та після процедури

Тотальна реабілітація

Діагноз: Патологічна стертість.

Виконано: Зниження висоти носогубних складок, завдяки відновленню керамічними коронками на власних зубах та цирконієвими коронками на імплантах.

Пацієнт носив капу-депрограматор 1 місяць. Вона застосовується для того, щоб змінити (стерти) м’язову пам’ять, яка зумовлює дефект оклюзії, та в результаті привести змикання щелеп у норму.

Ахадов Тамерлан, стоматолог широкого профілю

Роботу виконав лікар-стоматолог нашої клініки: Ахадов Тамерлан

Посмішка пацієнта: до та після стоматологічної процедури

Тотальна реабілітація, імплантація та відновлення керамічними конструкціями

Нікітюк Максим, стоматолог широкого профілю

Роботу виконав стоматолог-ортопед та ендодонтист: Колесніков Ігор Сергійович

Next
Next
Start automatic tab rotation

Наші контакти

Запишіться до наc на консультацію

Пн-Сб: 9:00 - 21:00 Нд: 10:00 - 17:00

Thank you! Your submission has been received!
Oops! Something went wrong while submitting the form.